What are Knee Osteoarthritis Treatment ?
Knee osteoarthritis (OA) is a common degenerative joint disease that causes the cartilage in the knee joint to wear down over time, leading to pain, stiffness, and reduced mobility. There are a variety of treatments available for knee OA, ranging from non-invasive options like physical therapy and medications to more invasive options like surgery.
Non-invasive treatments for knee OA typically aim to reduce pain and inflammation, improve joint function and mobility, and slow down the progression of the disease. Some common non-invasive treatments include exercise and physical therapy, weight loss, medications, assistive devices, and dietary supplements.
In more severe cases of knee OA, surgery may be necessary to repair or replace the damaged joint. Some common surgical treatments for knee OA include arthroscopy, osteotomy, partial knee replacement, and total knee replacement.
Ultimately, the best treatment for knee OA will depend on a variety of factors, including the severity of the disease, the patient’s age and overall health, and their individual preferences and goals. A healthcare provider can help to evaluate the patient’s condition and recommend an appropriate treatment plan.
Symptoms
- Stiffness, which means that a person experiences pain on moving the joint after an interval of rest. For eg. Standing up from a chair or stool after sitting for some time
- Some patients also complain of morning stiffness
- Restricted range of movement
- Functional restrictions e.g. walking, climbing stairs, standing become painful
- Limping and unable to squat or sit on the floor
- Swelling of the knee may be noticed in acute episodes
Diagnosis
After a thorough history taking and talking to the patient Dr Ahmed would do a detailed examination of the knees and both lower limbs.
The things that are looked for in clinical examination are
- Deformity
- Alignment
- Muscle atrophy
- Tenderness
- Range of movement
- Crepitus
- Ligament laxity
- Patellar position and movement
- Any skin conditions
- Any ankle , hip or spine pathologies
- Similar evaluation of opposite lower limb
Radiology
Xrays are the gold standard for diagnosis.
Weight bearing AP, Lateral and Rosenberg views are done routinely.
Radiologically X-rays show the progress of Osteoarthritis through 4 stages.
Treatment of Osteoarthritis is based on the stage of knee arthritis and hence X-rays play an important role in management of Osteoarthritis
Management
Most patients of OA fall in Gr 1 to Gr 3 and can be treated conservatively.
Surgical intervention is needed in Gr 4 OA or in patients with deformity
Conservative
- Activity modification
- Hot fomentation
- Pain relieving drugs like NSAIDs, Tramadol etc
- Walking aids
- Appropriate footwear which provides support
- Gradual Weight reduction if overweight / obese
- Physiotherapy including range of movement exercises and a graded strengthening programme for quadriceps and hamstrings plus core strengthening
- Lifestyle modifications
- Drugs which help cartilage regeneration
- Intra articular injections
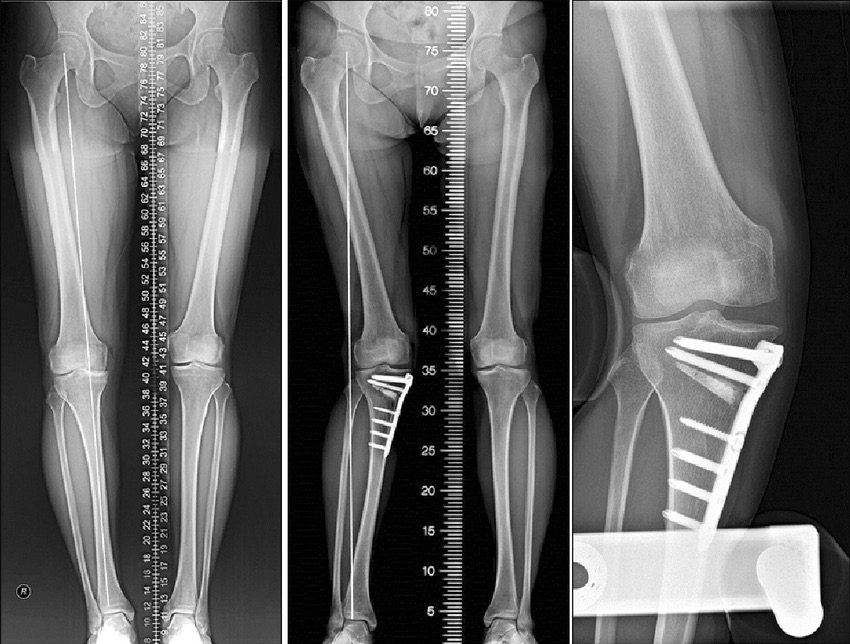
- Orthopaedic options- If pain and function is limiting or conservative measures for 6 months has failed then alignment correction / knee replacement surgery may be advised
Surgery
If conservative therapy fails, surgery should be considered. Surgical treatments for knee OA include arthroscopy, cartilage repair, osteotomy, and knee arthroplasty.
Determining which of these procedures is most appropriate depends on several factors, including the location, stage of OA, comorbidities on the one side and patients suffering on the other side.
Arthroscopic lavage and débridement is often carried out, but does not alter disease progression.
If OA is limited to one compartment, unicompartmental knee arthroplasty or unloading osteotomy (HTO) can be considered. They are recommended in young and active patients in regard to the risks and limited durability of total knee replacement.
Total arthroplasty of the knee or Joint Replacement is a common and safe method in the elderly patients with advanced knee OA.
